TAKO JEDOSTAVNO, A RADI ČUDA Ovaj video će svakoga uvjeriti da je fiksni aparatić za zube genijalan izum

TAKO JEDOSTAVNO, A RADI ČUDA Ovaj video će svakoga uvjeriti da je fiksni aparatić za zube genijalan izum
17K
https://www.youtube.com/watch?v=CLRbHAK-05Q
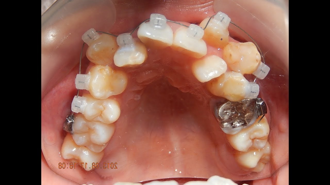
Ova osoba je imala katastrofalne zube. Fiksni aparatić za zube je to bez problema riješio. Princip je skroz jednostavan, a čini čuda. Pogledajte kako je ova "magija" napredovala i kako je izgledao krajnji rezultat nakon 4 godine.

Najnovije