BEBIN JEZIVI POGLED Trudnica je nakon pregleda dobila sliku, začudila se kad je ugledala ovo

BEBIN JEZIVI POGLED Trudnica je nakon pregleda dobila sliku, začudila se kad je ugledala ovo
5K
https://www.youtube.com/watch?v=JM9mvZyHexk
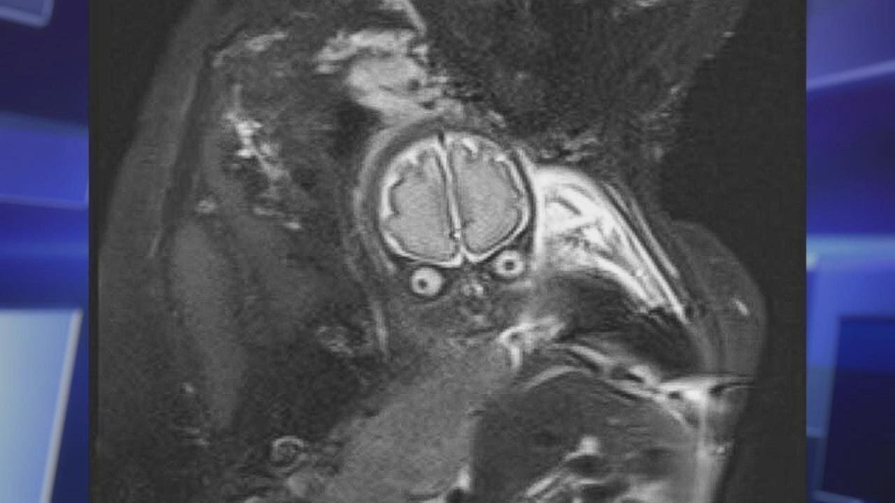
Budući roditelji su ostali pomalo šokirani nakon što su vidjeli rezultate magnetske rezonance koju su naručili doktori. Htjeli provjeriti je li sve u redu s razvojem djeteta, a slika je začudila roditelje jer je njihova beba izgledala kao mali vanzemaljac koji ih gleda na pomalo jeziv način.

S bebom je sve bilo u redu. Kasnije je rođena živa i zdrava, no roditelji će ovu sliku još dugo pamtiti. :)

Najnovije