17 fora stvari koje ne možemo vidjeti golim okom, ali možemo na rendgenskim snimkama

17 fora stvari koje ne možemo vidjeti golim okom, ali možemo na rendgenskim snimkama
21K
Brightside
Ljudi su na društvenim mrežama počeli dijeliti zanimljive rendgenske snimke, a mi smo izdvojili 17 najzanimljivijih i najneobičnijih primjera. 😀

1. Ovako se radi rendgenska snimka papige - dvoje ljudi moraju ju držati na leđima i na boku

1. Ovako se radi rendgenska snimka papige - dvoje ljudi moraju ju držati na leđima i na boku

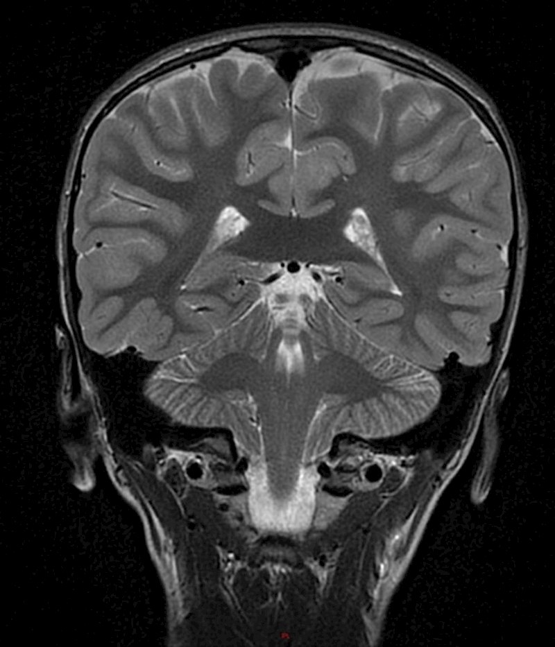
2. "Moj sin očito ima još jednu osobu u mozgu. I NE, ovo nije photoshop!"

2. "Moj sin očito ima još jednu osobu u mozgu. I NE, ovo nije photoshop!"

3. "Moja pacijentica nije mi dopustila da joj napravim rendgensku snimku sve dok prije toga nisam snimila njezinog ponija."

3. "Moja pacijentica nije mi dopustila da joj napravim rendgensku snimku sve dok prije toga nisam snimila njezinog ponija."

4. Rendgenska snimka trudne kornjače. Bila bi super omot nekog albuma!😄

4. Rendgenska snimka trudne kornjače. Bila bi super omot nekog albuma!😄

5. Rendgenska snimka kacige

5. Rendgenska snimka kacige

6. Rendgenska snimka pitona

6. Rendgenska snimka pitona

7. Žarulja pod rendgenom

7. Žarulja pod rendgenom

8. Dio kemijske olovke pod rengdenom

8. Dio kemijske olovke pod rengdenom

9. "Moji pirsevi pod rendgenom."

9. "Moji pirsevi pod rendgenom."

10. Super čestitka za Noć vještica

10. Super čestitka za Noć vještica

11. Dokaz da se kornjača ne nalazi ispod oklopa. Ona JE oklop!

11. Dokaz da se kornjača ne nalazi ispod oklopa. Ona JE oklop!

12. Rendgen mačke

12. Rendgen mačke

13. Snimka osobe koja ima 3 pirsa na jeziku

13. Snimka osobe koja ima 3 pirsa na jeziku

14. "Zubić vila duguje mi puno novaca! Imam 33 godine i još uvijek imam mliječne zube..."

14. "Zubić vila duguje mi puno novaca! Imam 33 godine i još uvijek imam mliječne zube..."

15. Rendgenska snimka cvijeta

15. Rendgenska snimka cvijeta

16. Rendgen trudnog psa

16. Rendgen trudnog psa

17. "Prva stvar koju sam stavio pod rendgen tijekom svog školovanja je joystick!"

17. "Prva stvar koju sam stavio pod rendgen tijekom svog školovanja je joystick!"

BONUS: Dobri, slatki i strpljivi psić koji čega da ga rendgen snimi!🥰

BONUS: Dobri, slatki i strpljivi psić koji čega da ga rendgen snimi!🥰

Popularno

Najnovije