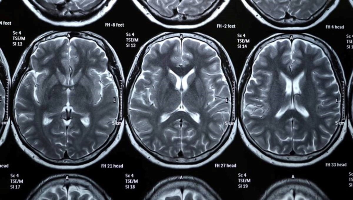
KAKO vrijeme prolazi, tako se ljudi mijenjaju. Izgleda da mlađe generacije nisu samo dobile na centimetrima u visini - već i u volumenu mozga.